Sparkle Dental Care
A Great Dentist

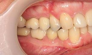
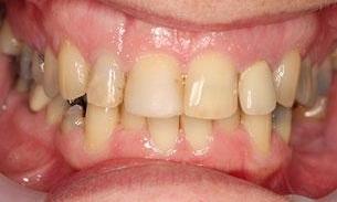
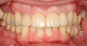
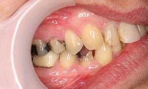
Full Mouth Rehabilitation in Bayside VIC

This adult patient had multiple broken teeth, some decayed teeth and teeth with defective large fillings. Unsaveable teeth were removed and then replaced with implant-supported crowns. We also restored some teeth through root canals and then finished them with crowns.

Related Services:

Crowns and Bridges
Getting an appointment is fast and easy!
Any surgical or invasive procedure carries risks. Before proceeding, you should seek a second opinion from an appropriately qualified health practitioner.