Dentures in Fairfield VIC

At Sparkle Dental Care, our goal is to help patients to stay on top of their preventive care to keep mouths healthy for a lifetime. But the reality is that many people will still face tooth loss at some point.
Once something reserved for the elderly, today people of all ages wear dentures. Whether people lose their teeth because of congenital conditions, tooth decay, gum disease or injury, dentures can restore smiles, improve the ability to chew and speak and boost self-confidence.
We invite you to take the time to learn more about how today’s modern dentures are more natural-looking and comfortable than ever before.
You can book an appointment at our Fairfield surgery for a consultation at your convenience.
- What types of dentures are available?
- Does getting dentures hurt?
- Is it possible to have dentures put in the same day my teeth are extracted?
- Will my dentures feel uncomfortable?
- Can I eat normally with dentures?
- How long should I wear my dentures?
- Do dentures have to be removed at night?
- How should I care for my dentures?
- Is it possible to match the colour of my partial to my remaining teeth?
- I have been missing teeth for many years, and I think my jawbone is shrinking. Is there anything we can do about this?
- My dentures won’t stay in place even if I use adhesive. What are my options?
- I have been missing teeth for a long time. Can I still get dentures?
- What type of dentures are best for me?
What types of dentures are available?
Full mouth dentures—To replace all of the teeth at one time, full mouth dentures are one of the most trusted and affordable care options. A full mouth denture covers the entire jawline and is held in place by creating suction between the prosthesis and the gum tissues.
Dentures can be either immediate or conventional: One is placed in the mouth immediately after any necessary extractions while the other is fitted after healing has taken place. The type of denture you choose will be determined by your current oral health and personal preferences.
Partial dentures—If you still have healthy teeth, a partial denture can help you retain them while also replacing your missing teeth. Partial dentures clasp around these existing teeth to secure it in place. This allows the removable partial denture to be smaller than conventional dentures while still providing you with the oral rehabilitation that you deserve.
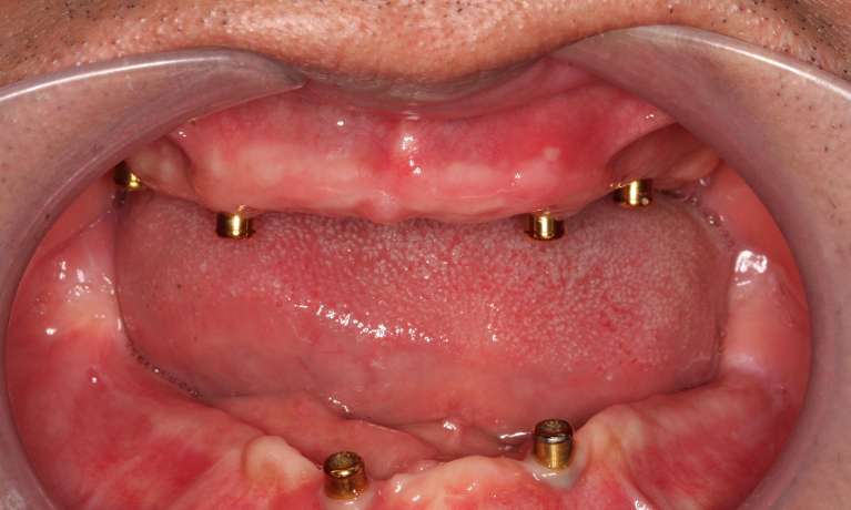
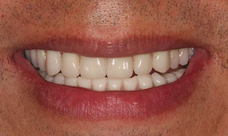
Implant All-on-4® dentures—All-on-4 dentures are implant-supported dentures that are permanently anchored in the mouth. Their streamlined design makes the denture wearing process easier on your diet and speech. Instead of covering the roof of your mouth, implant dentures cover only the jawline.
Does getting dentures hurt?
When you first get your new dentures, it is normal to feel irritation initially, but this will fade as you become more accustomed to wearing them. The length of time this irritation will linger varies, depending on whether you have previously had dentures or if you are getting them for the first time.
If you have had teeth extracted right before getting dentures, there might be pain or discomfort associated with this for a few weeks until the area heals. Your dentist will adjust the dentures as your gums heal to help make them more comfortable.
Is it possible to have dentures put in the same day my teeth are extracted?
Many people are not comfortable at the prospect of going without teeth for any length of time. Talk to your dentist about getting immediate dentures, which we provide the same day as the extractions.
Will my dentures feel uncomfortable?
There is a period of adjustment when you first get dentures, and they will initially feel awkward for speaking and chewing. As time goes on, however, you will get used to them. Today’s modern dentures are much more comfortable then those your grandparents might have worn. After a short time, you will be able to chew and speak normally.
Can I eat normally with dentures?
There is a learning curve with dentures so it will take some time to get used to eating with them. In the beginning, it’s best to start out eating softer foods that are easy to chew. As time goes on, you can move on to harder or stickier foods.
It’s best to avoid chewing gum if you wear dentures. Chewing gum will stick to the acrylic plastic in the denture and can harden and discolour your prosthetic.
It can be helpful to use a bit of denture adhesive to help keep the dentures stable as you learn to chew with them. Just use a few pea-sized dabs on each denture; this can help make the learning process a bit easier.
How long should I wear my dentures?
It’s usually best to wear your dentures during the day, then completely clean them before you go to bed and leave them out while you sleep. Always soak them in a water-based cleaning solution during the night.
Do dentures have to be removed at night?
You can sleep in your dentures but removing them at night gives your gums and bone a chance to rest from the pressure of wearing dentures throughout the day. If you choose to wear your dentures overnight, be sure to remove them during the day to properly clean your mouth and the prosthetic. You should never wear your dentures for more than 24 hours without properly cleaning them.
How should I care for my dentures?
Although dentures are prone to stains, they cannot be whitened like your natural teeth, so it’s essential that you clean them properly each day to minimise staining. Brush your dentures each day with a soft toothbrush or brush designed specifically for dentures. Use a non-abrasive soap or a denture paste; regular toothpaste is too abrasive and can scratch your dentures.
After cleaning and thoroughly rinsing your dentures, you should soak them in a water-based cleaning solution overnight.
If your denture breaks or develops a crack, don’t try to repair it yourself. See your dentist straight away, even if it seems like the damage could be an easy fix.
Is it possible to match the colour of my partial to my remaining teeth?
At Sparkle Dental Care, our dentists are highly trained to match your dentures to your existing tooth colour for a seamless look.
I have been missing teeth for many years, and I think my jawbone is shrinking. Is there anything we can do about this?
One of the by-products of having teeth removed is that the jawbone shrinks and changes shape over time. This is because, without teeth roots to stimulate the jawbone, the body stops sending nutrients to the area. It's essential to have the fit of your dentures checked every year to see if they need to be adjusted to accommodate changes in your jawbone. Most patients require a reline or replacement of their dentures every 5-8 years to ensure comfort and function.
My dentures won’t stay in place even if I use adhesive. What are my options?
It might be time for a reline of your dentures to improve the fit of the prosthetic. Over time, your jawbone changes shape, and a reline of your dentures will accommodate these changes and help give you a better fit.
If the fit of the relined denture is still loose, you may have lost enough jawbone to make an entirely new set of dentures necessary.
If you are experiencing irritation with your dentures, make sure you are removing them at night to let the soft tissues of your mouth recover from the pressure of wearing them during the day. It’s also crucial to ensure your gums are not irritated from the dentures before we attempt to reline them.
I have been missing teeth for a long time. Can I still get dentures?
There is no simple answer to this question because it is impossible to determine how much of your upper and lower jaw will remain after you have lost your teeth. Everyone loses bone at a different rate. If it’s been more than a decade or two, you are unlikely to have all the jawbone present that you started with. The best way to find out the state of your bone health after many edentulous years is to visit our surgery for an examination.
What type of dentures are best for me in Fairfield, VIC?
Unsure which type of dentures is right for you? Sparkle Dental Care is happy to assist you in reviewing your options and helping you decide the therapy that fits your smile and your lifestyle.
Give us a call to schedule your consultation today. You can reach our Fairfield clinic on (03) 9481 4392. We warmly welcome new patients.
 
 
 
 
 
 
 
 
 
 
