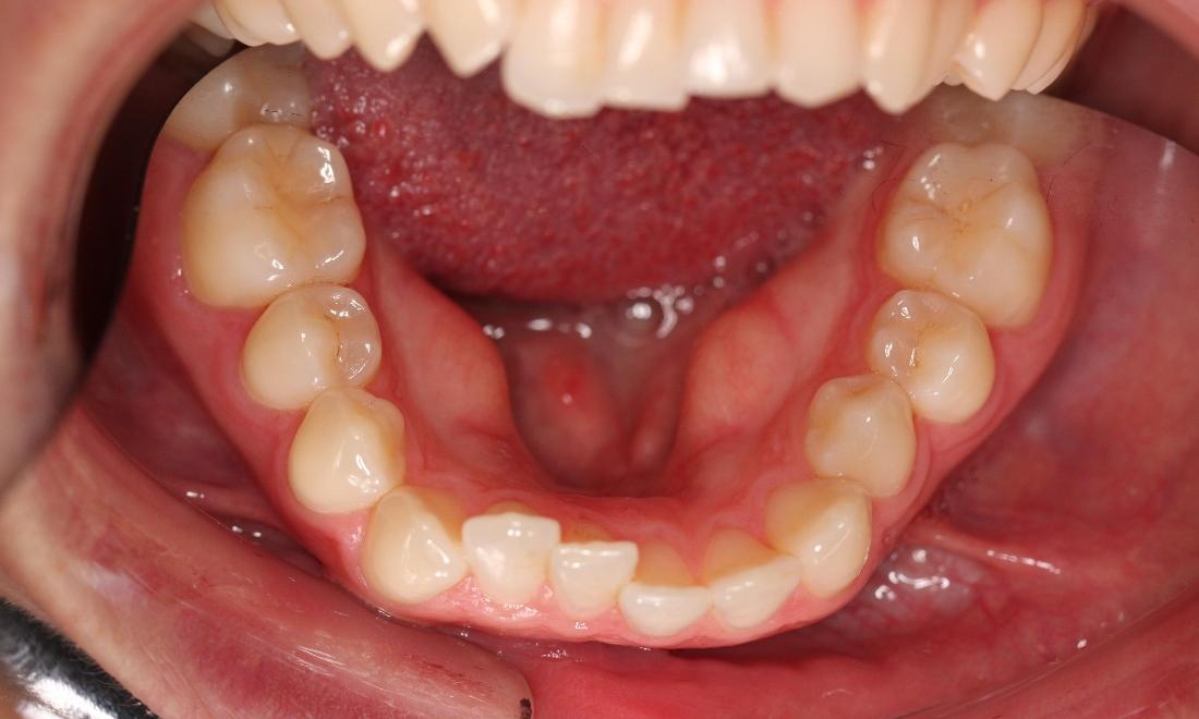
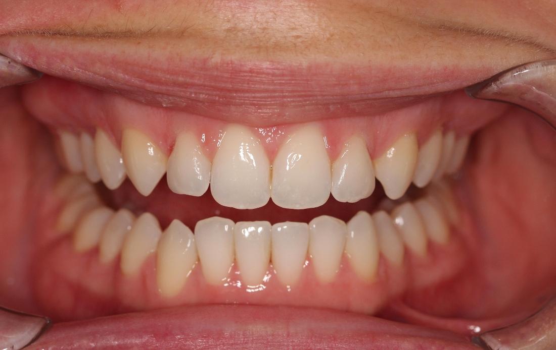
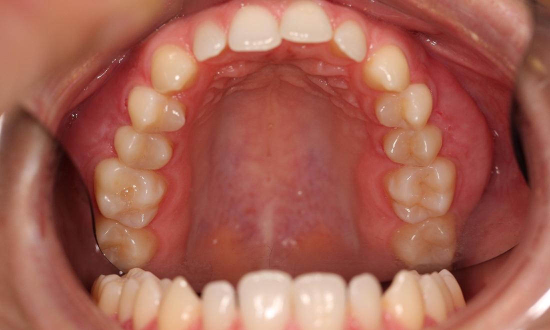
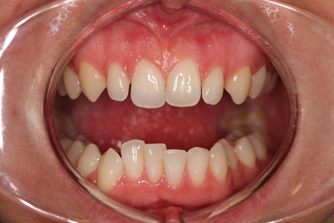
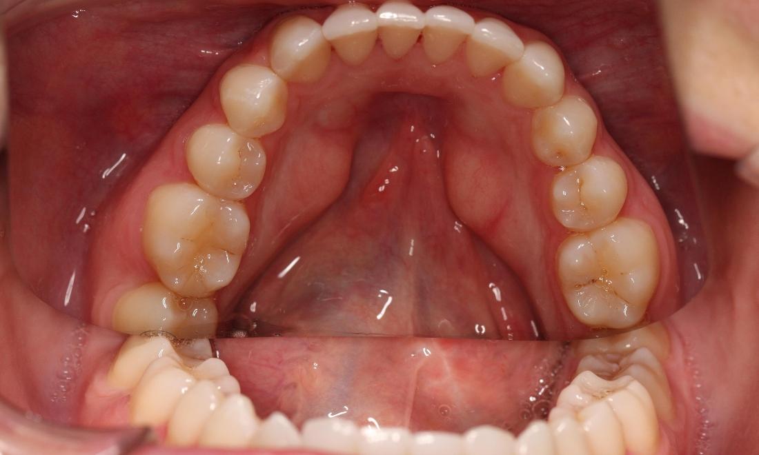
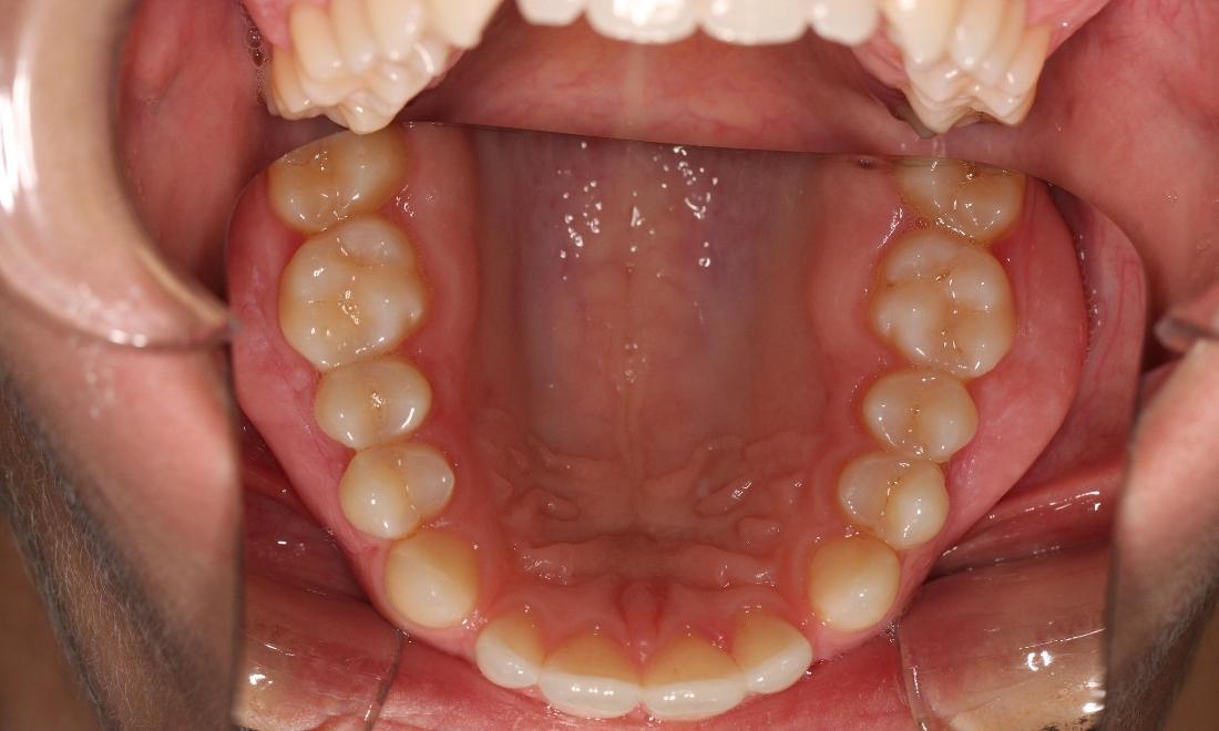
This young woman was self conscious about the crowding in her upper and lower teeth. After months of invisalign treatment, she is very satisfied with the result.
Any surgical or invasive procedure carries risks. Before proceeding, you should seek a second opinion from an appropriately qualified health practitioner.
"Happy Holidays! Our office is closed from 23rd December for the festive season. We'll respond to your message upon our return on 7th January 2026. Wishing you a joyful holiday!".