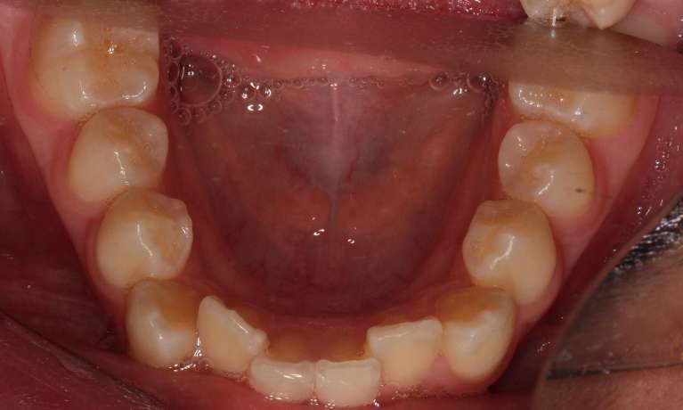
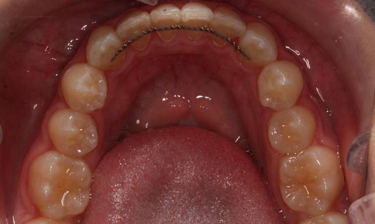
Take a look at some before and after images of work done at our Fairfield dental clinic.
*The images shown in our Smile Gallery are examples of dental treatments provided at our practice. Individual results will vary depending on each patient’s dental needs and circumstances.
 
 
 
 
 
 
 
 
 
 
 
 
 
