Smile Gallery: Crowns and Bridges
Take a look at some before and after images of work done at our Fairfield dental clinic.
*The images shown in our Smile Gallery are examples of dental treatments provided at our practice. Individual results will vary depending on each patient’s dental needs and circumstances.
*The images shown in our Smile Gallery are examples of dental treatments provided at our practice. Individual results will vary depending on each patient's dental needs and circumstances.
This gallery highlights the treatment of a patient who previously had braces but required additional restoration to close residual gaps. A Maryland cantilever bridge was placed to fill in these spaces, improving both dental function and aesthetics.
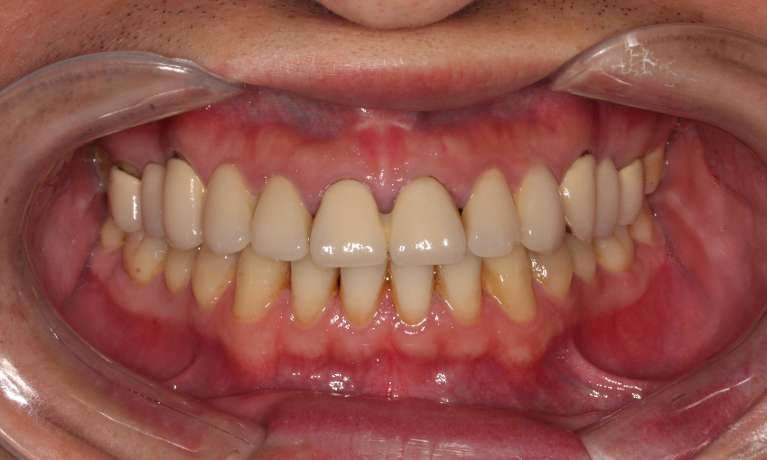
This before and after showcases a comprehensive dental restoration involving root canal therapy, the placement of dental crowns for structural integrity and aesthetics, as well as a full upper denture to restore function and appearance.
The patient wanted to be able to smile when she retires and travels around. An infected upper incisor was removed before a carefully designed ceramic bridge and a crown were placed. She was so thrilled with the result! Now she can show her teeth when she smiles in her photos.
This young dad had four congenitally missing upper teeth. He had a quick orthodontic treatment and a large span bridge placed in as a teenager. He never smiles with teeth showing.
After many years of wear and tear, some of the work started to break and fail. We removed the defective bridges, managed to save all the existing teeth and placed four implant supported crowns in. The patient is very happy to be able to smile confidently now.
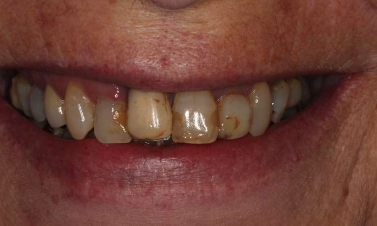
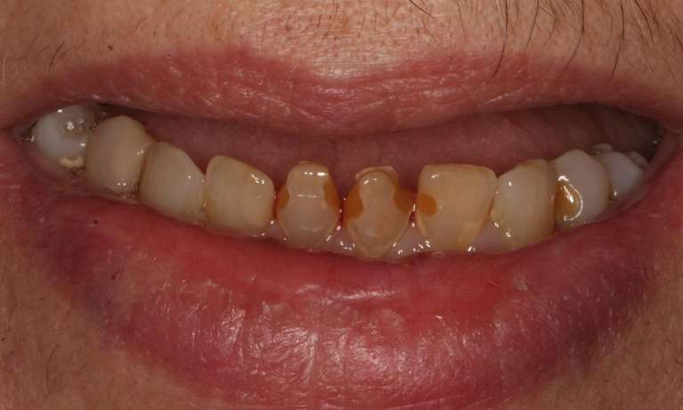
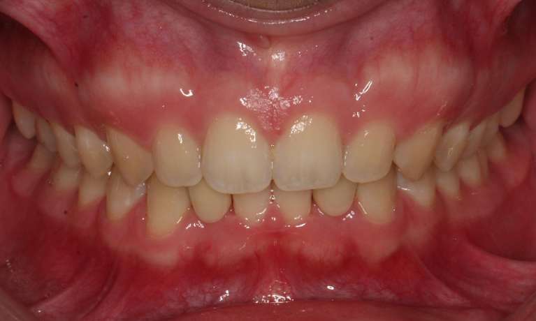
This man in his 50s was unhappy with the amalgam filling used to fix cavities. After discussing options, we agreed to fix his appearance by putting crowns on the teeth which create more of a natural look. This patient was very happy with the end result and is now in maintenance mode.
This man in his fifties, who had an old defective crown following sports injury at younger age, wanted to have whiter teeth and better smile. Home tooth whitening was done over a month before four new crowns were placed on the upper front teeth. The patient was thrilled to have his new sparkling smile. The crowns can be done in a day thanks to CEREC.
This adult patient did not like the their outdated, discoloued crowns on their upper front teeth. A laser gum surgery made a symmetrical gum line on the two upper front central teeth, and then we placed three new crowns to give a much more natural looking smile!
This lady in her 50s had long standing concerns of the appearance of her upper front teeth and missing back teeth. The oral rehabilitation started with replacing missing back with with bridges to re-establish the back teeth support before new porcelain crowns were placed on her front teeth to give her the satisfying smile
A young teenage with gaps, missing teeth and heavily decayed teeth came to our practice. The whole procedure started with restoring his teeth, 2 years of braces, and and then finally crowns in his early 20s to create the finished smile. His new smile will be maintained with regular dental cleanings and maintenance.
This adult patient was unhappy with their poorly sized porcelain veneers with discoloration and multiple patch-ups and defects. We removed a tooth removed due to a long-standing abscess, and then new crowns and bridge were placed.
This adult patient had heavily restored discolored and defective upper front teeth. Their upper front four teeth were rejuvenated with new crowns to give the finished smile.
This mature patient was unhappy with their grossly decayed teeth. In order to treat them, we had to extract a few unsaveable teeth. Then, we fitted a new full upper denture and two implant supported crowns in lower right side to reopen lost to give a fuller smile where they previously had gaps.
This adult patient had multiple broken teeth, some decayed teeth and teeth with defective large fillings. Unsaveable teeth were removed and then replaced with implant-supported crowns. We also restored some teeth through root canals and then finished them with crowns.
This adult patient had trauma on their upper front teeth as a teenager. These teeth were restored with crowns for many years until they fractured partly due to his heavy bite. His upper front three teeth with damaged roots were removed and then restored with two implant supported bridges. The patient now wears a night splint to protect them as well.
This patient lost most her lower back molars and had severe tooth wear on her front teeth, which gave her facial appearance a sunken look. New porcelain crowns and veneers were placed on her upper and lower front teeth at an increased vertical dimension to rejuvenate the mouth and face. The new look was supported by crowns on upper back teeth and a new lower denture, as there was not adequate jaw bone for dental implants.